-
By Hamid Ahmadieh, MD
Labbafinejad Medical Center - Uploaded on May 14, 2016.
- Last modified by Hamid Ahmadieh, MD on May 20, 2016.
- Rating
- Appears in
- Miscellaneous
- Condition/keywords
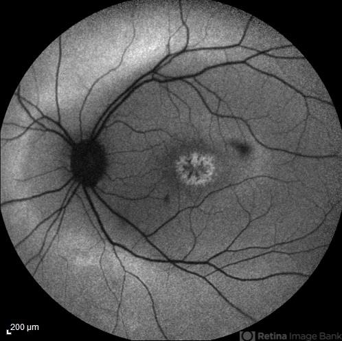
- juvenile retinoschisis
- Photographer
- Shabnam Pooreh, Negah Eye Center, Tehran , Iran
- Imaging device
-
Fundus camera
Specteralis - Description
- FAF image of the left eye of a 30-year-old man with juvenile retinoschisis. VA OD is 20/80.

Initializing download.