-
By Raj K. Maturi, MD
Midwest Eye Institute & Retina Partners Midwest - Uploaded on May 4, 2016.
- Last modified by Caroline Bozell on May 4, 2016.
- Rating
- Appears in
- Miscellaneous
- Condition/keywords
- optic nerve
- Photographer
- Charlotte Harris
- Imaging device
-
Fundus camera
Topcon EX - Description
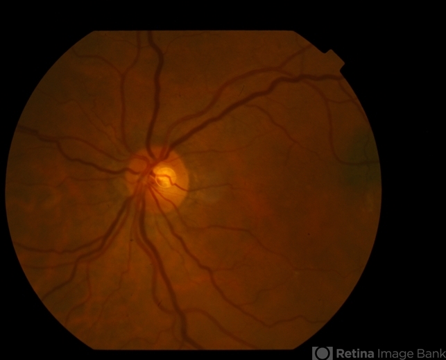
- 73-year-old female with persistent edema OS. Secondary to moderate neovascular AMD.

Initializing download.