-
By Raj K. Maturi, MD
Midwest Eye Institute & Retina Partners Midwest - Uploaded on Dec 4, 2015.
- Last modified by Caroline Bozell on Dec 4, 2015.
- Rating
- Appears in
- Miscellaneous
- Condition/keywords
- angioid streaks
- Photographer
- Charlotte Harris Midwest Eye Institute Indianapolis, IN
- Imaging device
-
Fundus camera
TOPCON EX - Description
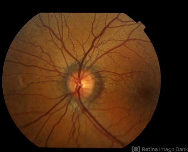
- Fundus of a 24-year-old male with mild onset of blurry vision , angioid streaks OS>OD. Observation recommended for now.

Initializing download.