-
By Daniel A. Adelberg, MD, FASRS
Southwestern Eye Center - Uploaded on Dec 3, 2015.
- Last modified by Caroline Bozell on Dec 3, 2015.
- Rating
- Appears in
- Miscellaneous
- Condition/keywords
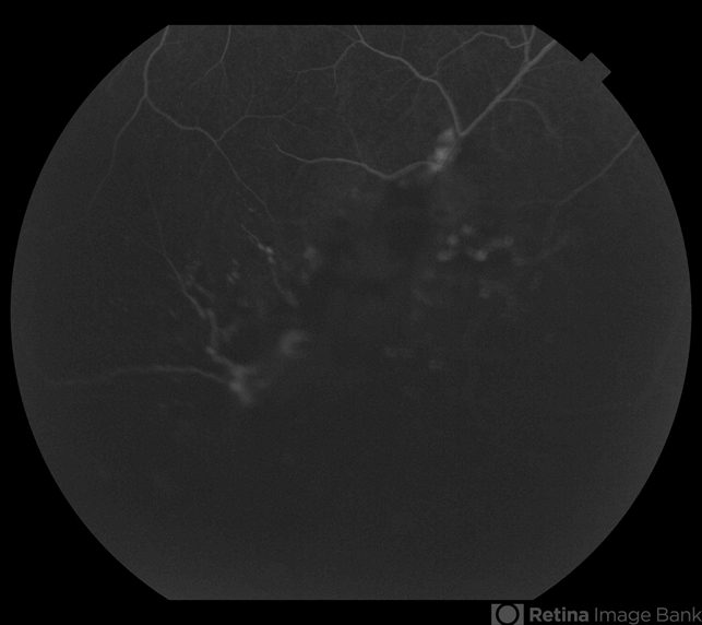
- cavernous hemangioma of the retina
- Photographer
- Robert Ramsay, COA, Southwestern Eye Center Phoenix Arizona
- Imaging device
- Fundus camera
- Description
- Fundus and fluorescein angiographic images of an 26-year-old male with a peripheral , asymptomatic retinal cavernous hemangioma.

Initializing download.