-
By Hector E. Ibanez, MD, FACS, FASRS, FABO, FAAO
Vitreoretinal Consultants - Uploaded on Sep 20, 2013.
- Last modified by Caroline Bozell on Sep 20, 2013.
- Rating
- Appears in
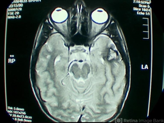
- Cavernous hemangioma of the retina and CNS
- Condition/keywords
- cavernous hemangioma of the retina
- Description
- MRI of an 8-year-old boy with a cavernous hemangioma of the retina and a cavernous hemangioma of the temporal lobe.

Initializing download.