-
By Mallika Goyal, MD
Apollo Health City
Co-author(s): Sridhar A, MD, Apollo Health City, Jubilee Hills, Hyderabad, India - Uploaded on Nov 22, 2015.
- Last modified by Caroline Bozell on Nov 23, 2015.
- Rating
- Appears in
- Retinal folds following retinal reattachment surgery
- Condition/keywords
- retinal fold
- Photographer
- Mallika Goyal, MD, Apollo Health City, Jubilee Hills, Hyderabad, India
- Imaging device
- Fundus camera
- Description
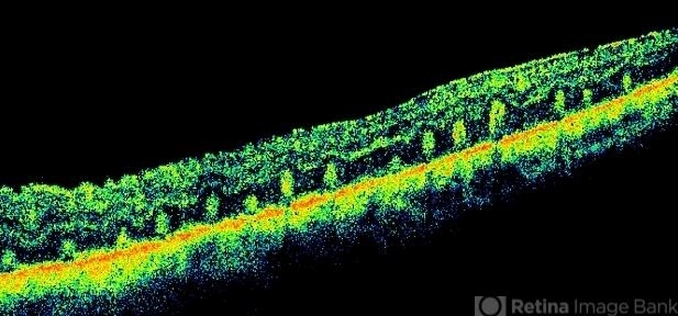
- Multiple retinal folds 4 weeks following vitreous surgery (perfluorodecalin assisted) for retinal detachment with giant retinal tear. OCT shows residual subretinal fluid and outer retinal folds (ORFs) seen as vertical hyperreflective lesions consisting of folded inner segment/outer segment of photoreceptors band and external limiting membrane band.

Initializing download.