-
By Hamid Ahmadieh, MD
Labbafinejad Medical Center - Uploaded on Oct 10, 2015.
- Last modified by Hamid Ahmadieh, MD on Oct 13, 2015.
- Rating
- Appears in
- Miscellaneous
- Condition/keywords
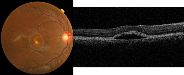
- Best disease, vitelliform lesion, color fundus photograph, optical coherence tomography (OCT)
- Photographer
- Shabnam Pooreh, Negah Eye Center, Tehran, Iran
- Imaging device
- Optical coherence tomography system
- Description
- Color fundus photograph and OCT image of the right eye of a 35-year-old man with decreased vision due to Best disease.

Initializing download.