-
By Thomas A. Ciulla, MD, MBA, FASRS
Indiana University School of Medicine - Uploaded on Aug 15, 2015.
- Last modified by Caroline Bozell on Aug 17, 2015.
- Rating
- Appears in
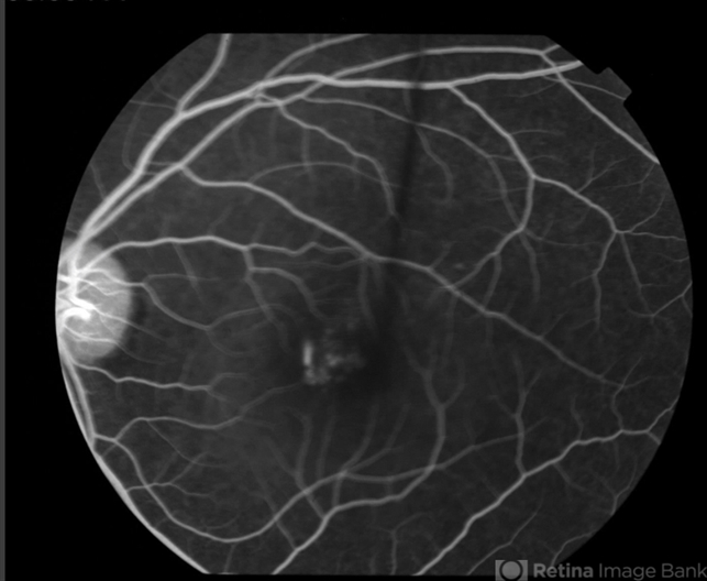
- Central Serous Retinopathy with Smokestack Pattern
- Condition/keywords
- central serous retinopathy (CSR)
- Photographer
- Charlotte Harris
- Imaging device
- Fundus camera
- Description
- Central serous retinopathy with smokestack pattern.

Initializing download.