-
By Hamid Ahmadieh, MD
Labbafinejad Medical Center
Co-author(s): Ramin Nourinia,MD - Uploaded on Jul 7, 2015.
- Last modified by Hamid Ahmadieh, MD on Aug 1, 2015.
- Rating
- Appears in
- Miscellaneous
- Condition/keywords
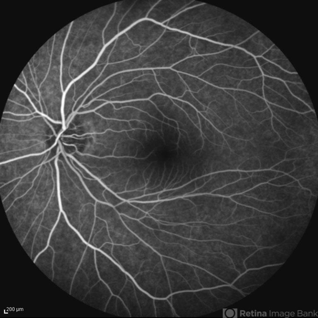
- familial exudative vitreoretinopathy (FEVR), asymptomatic
- Photographer
- Soulmaz Shahmohammad, Negah Eye Center, Tehran, Iran
- Imaging device
- Specteralis
- Description
- FA image of the asymptomatic left eye of a 28-year-old man with total RD secondary to advanced FEVR in his right eye. Notice straightening of the retinal vessels.

Initializing download.