-
By H. Michael Lambert, MD
- Uploaded on Feb 19, 2015.
- Last modified by Caroline Bozell on Feb 19, 2015.
- Rating
- Appears in
- Laser
- Condition/keywords
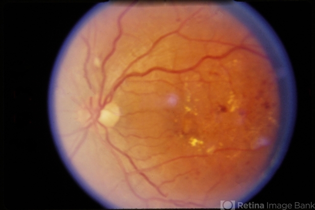
- clinically significant macular edema (CSME), color photo, diabetic retinopathy, FALP
- Description
- Color photo of CSDME.

Initializing download.