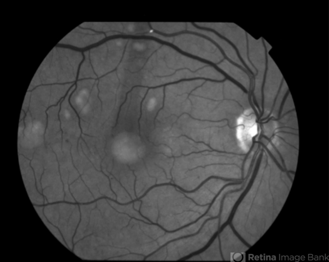
Multifocal Best Disease

file

File number: 23958


Comments

    Sign in to comment.

    Rating
    Appears in
    Multifocal Best Disease
    Condition/keywords
    Best disease, adult vitelliform dystrophy
    Photographer
    Charlotte Harris
    Imaging device
    Fundus camera
    Description
    Macular exam reveals yellow subretinal pigment clumping in each macula, including the foveal area.

    Related files