-
By Thomas A. Ciulla, MD, MBA, FASRS
Indiana University School of Medicine - Uploaded on Jan 31, 2015.
- Last modified by Caroline Bozell on Feb 2, 2015.
- Rating
- Appears in
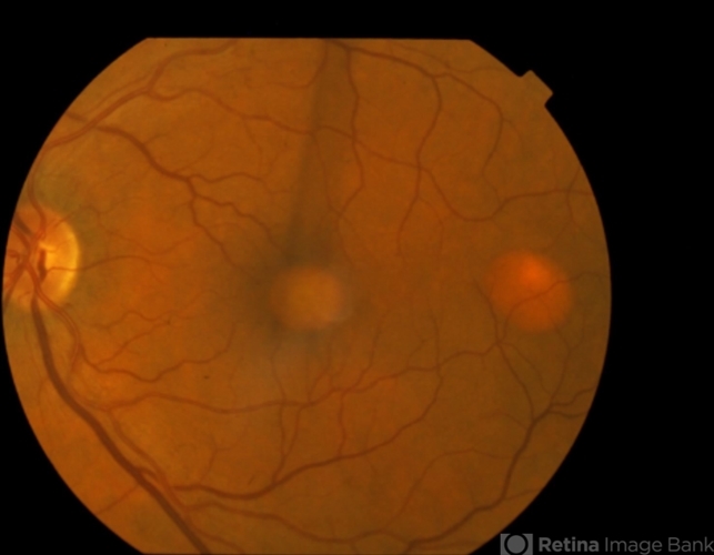
- Multifocal Best Disease
- Condition/keywords
- Best disease, adult vitelliform dystrophy
- Photographer
- Charlotte Harris
- Imaging device
- Fundus camera
- Description
- Macular exam reveals yellow subretinal pigment clumping in each macula, including the foveal area.

Initializing download.