- 
            
             By Thomas A. Ciulla, MD, MBA, FASRS By Thomas A. Ciulla, MD, MBA, FASRS
 Indiana University School of Medicine
- Uploaded on Jan 31, 2015.
- Last modified by Caroline Bozell on Feb 2, 2015.
- Rating
- Appears in
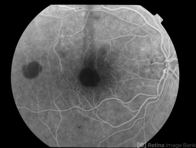
- Multifocal Best Disease
- Condition/keywords
- Best disease, adult vitelliform dystrophy
- Photographer
- Charlotte Harris
- Imaging device
- Fundus camera
- Description
- Angiography reveals blocking defects due to pigment clumping with no evidence of CNVM.

 
        
 Initializing download.
                Initializing download. 
             
             
             
             
             
             
             
             
             
            