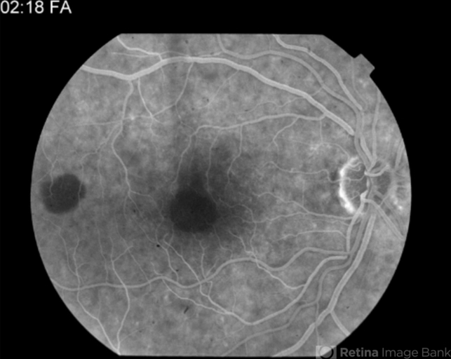
Multifocal Best Disease

file

File number: 23954


Comments

    Sign in to comment.

    Rating
    Appears in
    Multifocal Best Disease
    Condition/keywords
    Best disease, adult vitelliform dystrophy
    Photographer
    Charlotte Harris
    Imaging device
    Fundus camera
    Description
    Angiography reveals blocking defects due to pigment clumping with no evidence of CNVM.

    Related files