-
By H. Michael Lambert, MD
- Uploaded on Jan 29, 2015.
- Last modified by Caroline Bozell on Jan 29, 2015.
- Rating
- Appears in
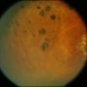
- Choroidal Melanoma
- Condition/keywords
- laser
- Description
- Melanoma surrounded by laser.

Initializing download.