- 
            
             By Stuart Alfred, CRA, OCT-C By Stuart Alfred, CRA, OCT-C
 Midwest Eye Institute
 Co-author(s): Midwest Eye Institute retina service
- Uploaded on Jan 28, 2015.
- Last modified by Stuart Alfred, CRA, OCT-C on Mar 4, 2015.
- Rating
- Appears in
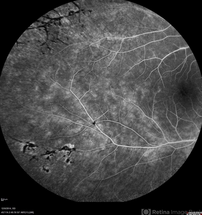
- Possible Uveitis or RP Variant
- Condition/keywords
- uveitis, RP variant, serous retinal detachment
- Photographer
- Stuart Alfred, CRA, OCT-C
- Imaging device
- 
                Scanning laser ophthalmoscope
                
 55 degree lens
- Description
- FA OD 29-year-old female with serous detachment OD & OS.

 
        
 Initializing download.
                Initializing download. 
             
             
             
             
             
             
             
             
             
            