-
Possible Uveitis or RP Variant
Jan 28 2015 by Stuart Alfred, CRA, OCT-C
OCT of 29-year-old female with serous detachment OD.
Photographer: Stuart Alfred, CRA, OCT-C
Imaging device: OCT
Condition/keywords: RP variant, serous retinal detachment, uveitis
-
Possible Uveitis or RP Variant
Jan 28 2015 by Stuart Alfred, CRA, OCT-C
OCT of 29-year-old female with serous detachment OS.
Photographer: Stuart Alfred, CRA, OCT-C
Imaging device: OCT
Condition/keywords: RP variant, serous retinal detachment, uveitis
-
Possible Uveitis or RP Variant
Jan 28 2015 by Stuart Alfred, CRA, OCT-C
FAF composite OD.
Photographer: Stuart Alfred, CRA, OCT-C
Imaging device: Fundus Autofluorescence
Condition/keywords: RP variant, serous retinal detachment, uveitis
-
Possible Uveitis or RP Variant
Jan 28 2015 by Stuart Alfred, CRA, OCT-C
FAF composite OS.
Photographer: Stuart Alfred, CRA, OCT-C
Imaging device: Fundus Autofluorescence
Condition/keywords: RP variant, serous retinal detachment, uveitis
-
Possible Uveitis or RP Variant
Jan 28 2015 by Stuart Alfred, CRA, OCT-C
FA OS of 29-year-old female.
Photographer: Stuart Alfred, CRA, OCT-C
Imaging device: 55 degree lens
Condition/keywords: RP variant, serous retinal detachment, uveitis
-
Possible Uveitis or RP Variant
Jan 28 2015 by Stuart Alfred, CRA, OCT-C
FA OS of 29-year-old female.
Photographer: Stuart Alfred, CRA, OCT-C
Imaging device: 55 degree lens
Condition/keywords: RP variant, serous retinal detachment, uveitis
-
Possible Uveitis or RP Variant
Jan 28 2015 by Stuart Alfred, CRA, OCT-C
FA OS 29-year-old female.
Photographer: Stuart Alfred, CRA, OCT-C
Imaging device: 55 degree lens
Condition/keywords: RP variant, serous retinal detachment, uveitis
-
Possible Uveitis or RP Variant
Jan 28 2015 by Stuart Alfred, CRA, OCT-C
FA OS 29-year-old female with serous detachment OD & OS.
Photographer: Stuart Alfred, CRA, OCT-C
Imaging device: 55 degree lens
Condition/keywords: RP variant, serous retinal detachment, uveitis
-
Possible Uveitis or RP Variant
Jan 28 2015 by Stuart Alfred, CRA, OCT-C
FA OS of 29-year-old female.
Photographer: Stuart Alfred, CRA, OCT-C
Imaging device: 55 degree lens
Condition/keywords: RP variant, serous retinal detachment, uveitis
-
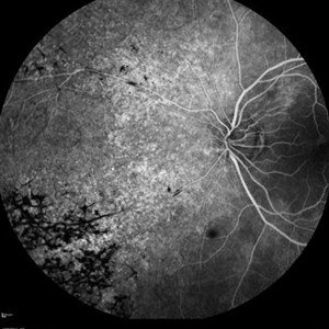
Uveitis of RP variant
Jan 28 2015 by Stuart Alfred, CRA, OCT-C
FA OD 29-year-old female with serous detachment OD & OS.
Photographer: Stuart Alfred, CRA, OCT-C
Imaging device: 55 degree lens
Condition/keywords: RP variant, serous retinal detachment, uveitis
-
Possible Uveitis or RP Variant
Jan 28 2015 by Stuart Alfred, CRA, OCT-C
FA OD 29-year-old female with serous detachment OD & OS.
Photographer: Stuart Alfred, CRA, OCT-C
Imaging device: 55 degree lens
Condition/keywords: RP variant, serous retinal detachment, uveitis
-
Possible Uveitis or RP Variant
Jan 28 2015 by Stuart Alfred, CRA, OCT-C
FA OD 29-year-old female with serous detachment OD & OS.
Photographer: Stuart Alfred, CRA, OCT-C
Imaging device: 55 degree lens
Condition/keywords: RP variant, serous retinal detachment, uveitis
-
Possible Uveitis or RP Variant
Jan 28 2015 by Stuart Alfred, CRA, OCT-C
FA OD 29-year-old female with serous detachment OD & OS.
Photographer: Stuart Alfred, CRA, OCT-C
Imaging device: 55 degree lens
Condition/keywords: RP variant, serous retinal detachment, uveitis
-
Possible Uveitis or RP Variant
Jan 28 2015 by Stuart Alfred, CRA, OCT-C
FA OD 29-year-old female with serous detachment OD & OS.
Photographer: Stuart Alfred, CRA, OCT-C
Imaging device: 55 degree lens
Condition/keywords: RP variant, serous retinal detachment, uveitis
