- 
            
            By James B. Soque, CRA, OCT-C, COA, FOPS 
 VRC OF NEW YORK
- Uploaded on Nov 26, 2014.
- Last modified by Caroline Bozell on Nov 26, 2014.
- Image of the week
- 
                Nov 16, 2014
 View all images of the week
- Rating
- Appears in
- Miscellaneous
- Condition/keywords
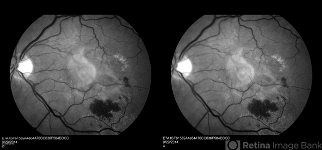
- neovascular age-related macular degeneration (AMD), stereo pair, red-free
- Photographer
- James Soque, CRA, COA, Island Retina, Shirley, NY
- Imaging device
- 
                Fundus camera
                
 Topcon TRC 50 EX, with MERGE software and OIS 5 MP digital Camera
- Description
- Stereo FC, RF and FA of a 77-year-old white female with visual acuity CC 20/200-3, with left eye neovascular ARMD, drusen, and subretinal hemorrhage with hard exudates temporally. Peripheral retina reveals cobblestone degeneration.

 
        
 Initializing download.
                Initializing download.