-
By Avris Romario Diparaja Siahaan
- Uploaded on Oct 17, 2014.
- Last modified by Caroline Bozell on Oct 20, 2014.
- Rating
- Appears in
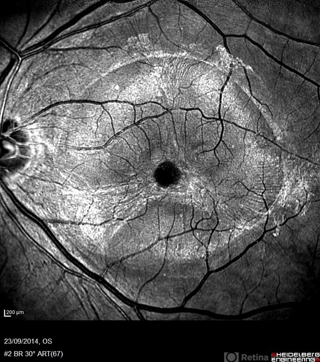
- Pigment Epithelial Detachment
- Condition/keywords
- pigment epithelial detachment (PED), red-free
- Photographer
- Avris Romario Diparaja Siahaan, Klinik Mata Nusantara
- Imaging device
-
Scanning laser ophthalmoscope
Heidelberg Spectralis - Description
- A red free fundus photograph of a 74-year-old man with pigment epithelial detachment in his left eye.

Initializing download.