-
By Hamid Ahmadieh, MD
Labbafinejad Medical Center - Uploaded on Sep 3, 2014.
- Last modified by Caroline Bozell on Sep 3, 2014.
- Rating
- Appears in
- Miscellaneous
- Condition/keywords
- candida endophthalmitis, endogenous endophthalmitis
- Photographer
- Nayereh Hadipour, Negah Eye Center, Tehran, Iran
- Imaging device
- Fundus camera
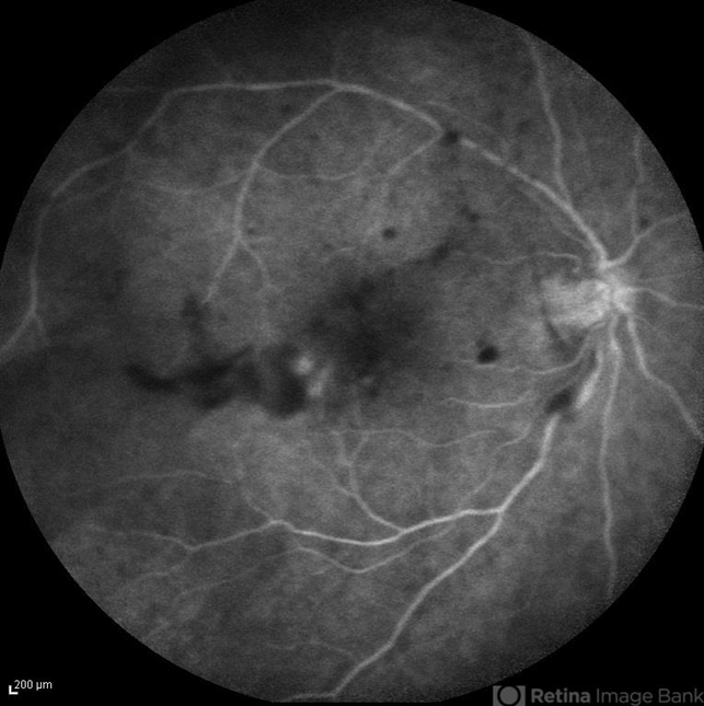
- Description
- Late phase FA image of the right eye of a 45-year-old diabetic man with the history of urinary tract infection. The most probable diagnosis was candida endogenous endophthalmitis.

Initializing download.