-
By Hamid Ahmadieh, MD
Labbafinejad Medical Center - Uploaded on Sep 1, 2014.
- Last modified by Caroline Bozell on Sep 2, 2014.
- Rating
- Appears in
- Miscellaneous
- Condition/keywords
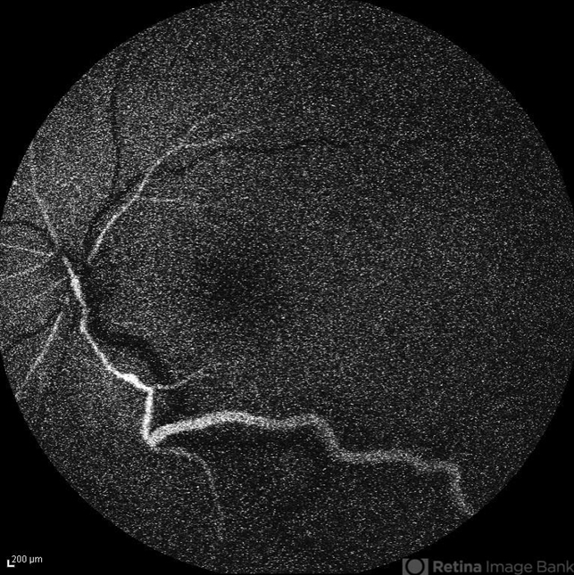
- Von Hippel-Lindau, retinal capillary hemangioma
- Photographer
- Solmaz Shahmohammad, Negah Eye Center, Tehran, Iran
- Imaging device
- Fundus camera
- Description
- Arterial phase FA image of the left eye of a 30-year-old woman with Von Hippel-Lindau. The afferent vessel has been filled.

Initializing download.