-
By Andree Henaine-Berra, MD
Hospital San Angel Inn Universidad
Co-author(s): Gerardo Garcia-Aguirre. Asociacion Para Evitar la Ceguera en Mexico. Mexico City. - Uploaded on Aug 20, 2014.
- Last modified by Caroline Bozell on Aug 21, 2014.
- Rating
- Appears in
- Miscellaneous
- Condition/keywords
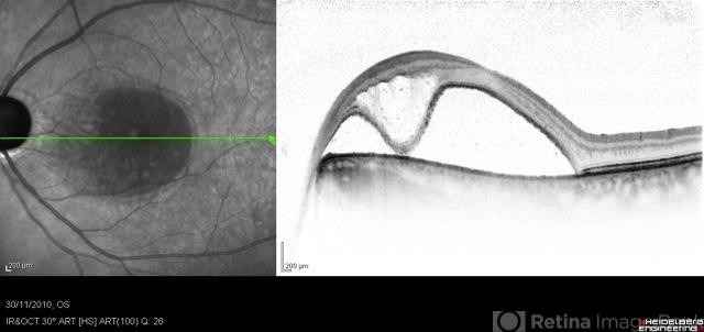
- optic pit, maculopathy, glaucoma
- Photographer
- Andree Henaine-Berra. Asociacion Para Evitar la Ceguera en Mexico. Mexico City.
- Imaging device
-
Optical coherence tomography system
Heidelberg Spectralis - Description
- Optical coherence tomography of the left eye of a 60-year-old man with an acquired optic pit maculopathy and glaucoma. The image shows subretinal fluid extending to the optic nerve and schisis of the outer retinal layers.

Initializing download.