-
By Susanna S. Park, MD, PhD
University of California Davis Eye Center - Uploaded on Jul 14, 2014.
- Last modified by Caroline Bozell on Jul 15, 2014.
- Rating
- Appears in
- Retina Vein Occlusion
- Condition/keywords
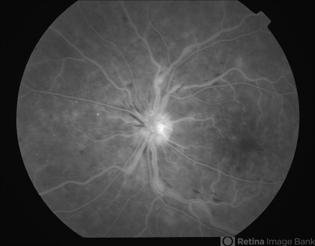
- non-ischemic central retinal vein occlusion (CRVO)
- Photographer
- Ellen Redenbo
- Imaging device
- Fundus camera
- Description
- Venous transit fluorescein angiogram image of a 52-year-old woman with non-ischemia central retinal vein occlusion showing some retinal venous staining and leakage.

Initializing download.