-
By Mallika Goyal, MD
Apollo Health City - Uploaded on Oct 26, 2012.
- Last modified by Chayal Patel on Dec 3, 2012.
- Reviewed by Chayal Patel
- Rating
- Appears in
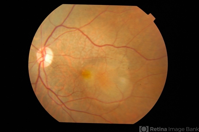
- subfoveal CNVM
- Condition/keywords
- subfoveal choroidal neovascularization
- Photographer
- Mallika Goyal, MD
- Imaging device
- Fundus camera
- Description
- Fundus photograph of left eye of 65-year-old lady with large subfoveal CNVM

Initializing download.