-
By Hamid Ahmadieh, MD
Labbafinejad Medical Center - Uploaded on May 31, 2014.
- Last modified by Hamid Ahmadieh, MD on May 31, 2014.
- Rating
- Appears in
- Miscellaneous
- Condition/keywords
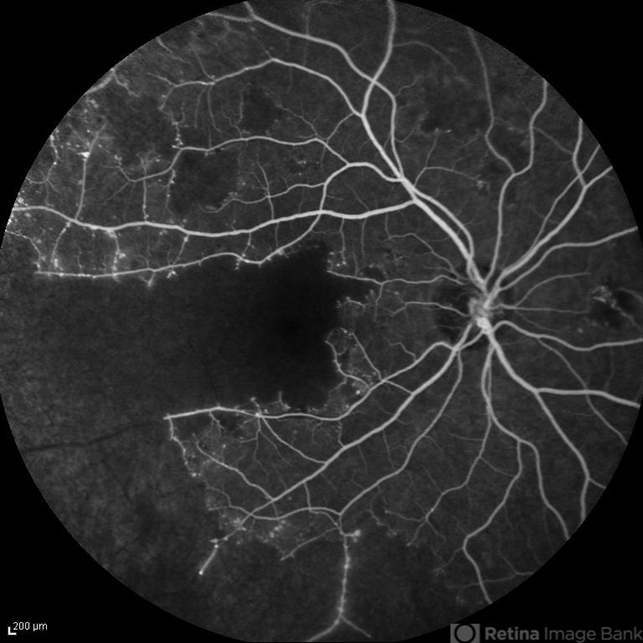
- capillary closure, macular infarction
- Photographer
- Solmaz Shahmohammad, Negah Eye Center, Tehran
- Imaging device
- Heidelberg Spectralis
- Description
- Late phase FA image of the right eye of a 28-year-old woman with idiopathic occlusive retinal vasculitis 6 months after the onset.

Initializing download.