-
By Hamid Ahmadieh, MD
Labbafinejad Medical Center - Uploaded on May 31, 2014.
- Last modified by Hamid Ahmadieh, MD on May 31, 2014.
- Rating
- Appears in
- Miscellaneous
- Condition/keywords
- retinal vasculitis
- Photographer
- Naghmeh Nozhat, Negah Eye Center, Tehran
- Imaging device
- Heidelberg Spectralis
- Description
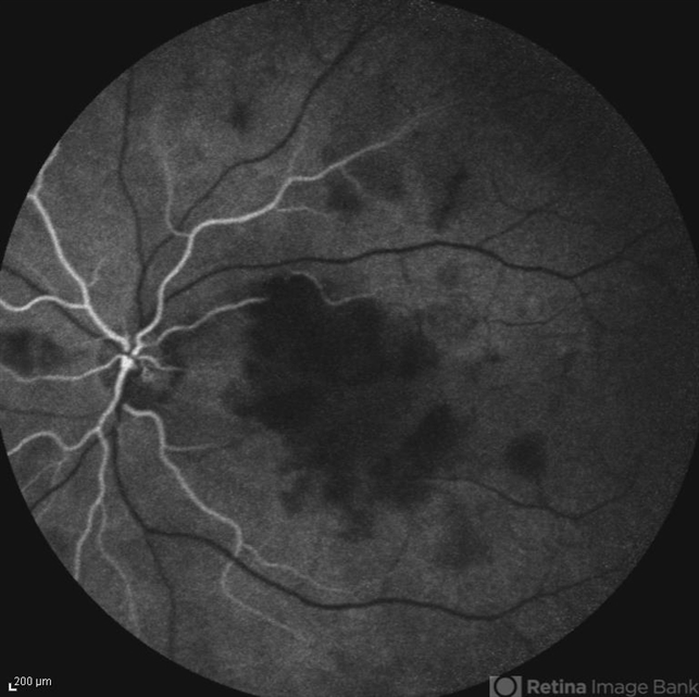
- Early phase fluorescein angiogram of the left eye of a 28-year-old woman with acute drop of vision due to occlusive retinal vasculitis leading to extensive capillary nonperfusion and macular infarction.

Initializing download.