-
By Mallika Goyal, MD
Apollo Health City - Uploaded on Oct 25, 2012.
- Last modified by Chayal Patel on Dec 4, 2012.
- Reviewed by Chayal Patel
- Rating
- Appears in
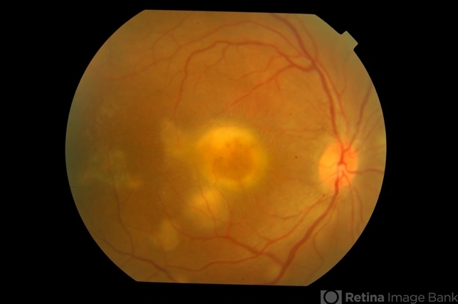
- Tubercular granuloma in immunocompetent
- Condition/keywords
- tubercular choroidal granuloma
- Imaging device
- Fundus camera
- Description
- Fundus photograph of the right eye of a 26-year-old gentleman 10 days after initiating oral levofloxacin and administering intravitreal antibiotics for central choroidal granulomas.

Initializing download.