-
By Mallika Goyal, MD
Apollo Health City
Co-author(s): Sridhar A, MD, Apollo Health City, Jubilee Hills, Hyderabad, India - Uploaded on May 4, 2014.
- Last modified by Caroline Bozell on May 5, 2014.
- Rating
- Appears in
- Heredomacular Degeneration
- Condition/keywords
- heredomacular degeneration, optical coherence tomography (OCT)
- Photographer
- Mallika Goyal, MD, Apollo Health City, Jubilee Hills, Hyderabad, India
- Imaging device
- Fundus camera
- Description
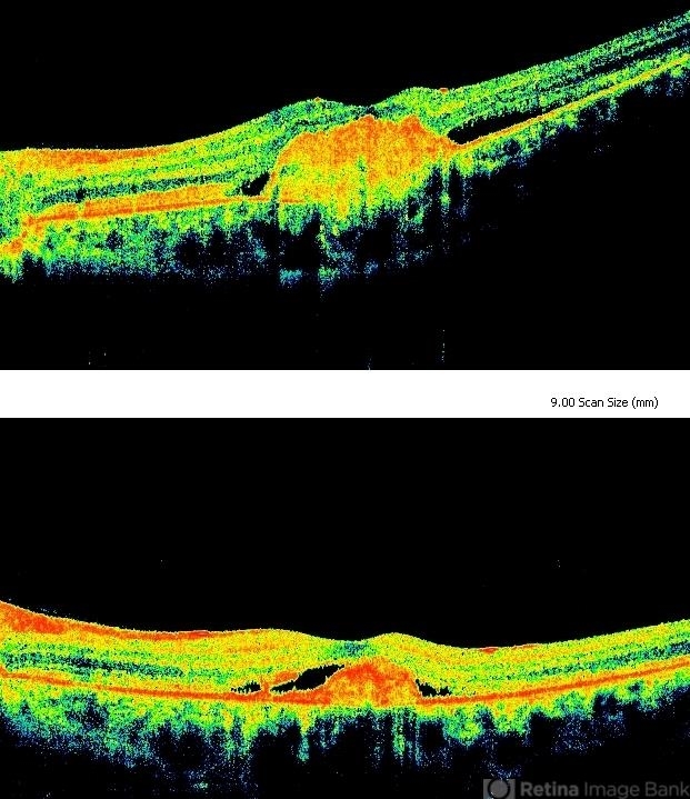
- Change in OCT status over 6 months of intravitreal avastin in a 14-year-old male child with bilateral heredomacular degeneration. The lower figure is status at presentation and the upper one 6 months later. OCT and clinical exam reveal enlargement of central scar with slight improved visual acuity from 20/40 at presentation to 20/25 subsequently.

Initializing download.