-
By David W. Faber, MD
Rocky Mountain Retina Consultants - Uploaded on Apr 29, 2014.
- Last modified by Caroline Bozell on Apr 29, 2014.
- Rating
- Appears in
- Miscellaneous
- Condition/keywords
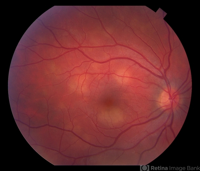
- acute multifocal placoid pigment epitheliopathy (AMPPE)
- Photographer
- Jodi Schiele, Rocky Mountain Retina Consultants, Salt Lake City, Utah
- Imaging device
- Fundus camera
- Description
- 24-year-old female presented with central blurry vision for 3-5 days. Vision : OD 20/20, OS 20/100

Initializing download.