-
Vitreal Macular Traction
Mar 27 2013 by David W. Faber, MD
Vitreal Macular Traction.
Condition/keywords: vitreoretinal traction
-
Vitreal Macular Traction
Mar 27 2013 by David W. Faber, MD
Vitreal Macular Traction.
Condition/keywords: vitreoretinal traction
-
Vitreal Macular Traction
Mar 27 2013 by David W. Faber, MD
Vitreal Macular Traction.
Condition/keywords: vitreoretinal traction
-
Vitreal Macular Traction
Mar 27 2013 by David W. Faber, MD
Vitreal Macular Traction.
Condition/keywords: vitreoretinal traction
-
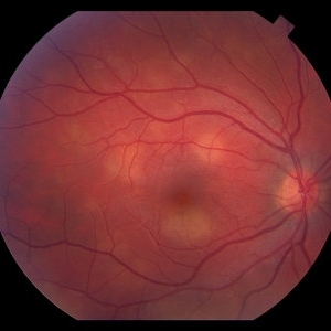
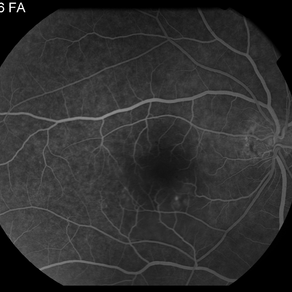
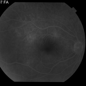
Central Serous Choroidopathy
Mar 27 2013 by David W. Faber, MD
40-year-old Asian male with 2 month hx of blurry vision Va: OD 20/40, OS 20/20.
Condition/keywords: central serous chorioretinopathy (CSCR)
-
Central Serous Choroidopathy
Mar 27 2013 by David W. Faber, MD
40-year-old Asian male with 2 month hx of blurry vision Va: OD 20/40, OS 20/20
Condition/keywords: central serous chorioretinopathy (CSCR)
-
Central Serous Choroidopathy
Mar 27 2013 by David W. Faber, MD
40-year-old Asian male with 2 month hx of blurry vision Va: OD 20/40, OS 20/20.
Condition/keywords: central serous chorioretinopathy (CSCR)
-
Central Serous Choroidopathy
Mar 27 2013 by David W. Faber, MD
40-year-old Asian male with 2 month hx of blurry vision Va: OD 20/40, OS 20/20
Condition/keywords: central serous chorioretinopathy (CSCR)
-
Central Serous Choroidopathy
Mar 27 2013 by David W. Faber, MD
40 -year-old Asian male with 2 month hx of blurry vision Va: OD 20/40, OS 20/20.
Condition/keywords: central serous chorioretinopathy (CSCR)
-
Choriodemia
Jul 8 2013 by David W. Faber, MD
Fundus montage of a 50-year-old male.
Photographer: Donna Knight C.R.A., Rocky Mountain Retina Consultants, Sale Lake City, Utah
Condition/keywords: choroideremia
-
Massive Subretinal Hemorrhage With Near Total Retina Detachment
Nov 27 2013 by David W. Faber, MD
Fundus photo of an 71-year-old male with massive subretinal hemorrhage. Had been given 6 week Avastin treatments. Was put on coumadin for 6 weeks following knee surgery.
Photographer: Donna Knight, Rocky Mountain Retina Consultants, Salt Lake City, Utah
-
AMPPE
Apr 29 2014 by David W. Faber, MD
24-year-old female presented with central blurry vision for 3-5 days. Vision : OD 20/20, OS 20/100
Photographer: Jodi Schiele, Rocky Mountain Retina Consultants, Salt Lake City, Utah
Condition/keywords: acute multifocal placoid pigment epitheliopathy (AMPPE)
-
AMPPE
Apr 29 2014 by David W. Faber, MD
24-year-old female presented with central blurry vision for 3-5 days. Vision : OD 20/20, OS 20/100
Photographer: Jodi Schiele, Rocky Mountain Retina Consultants, Salt Lake City, Utah
Condition/keywords: acute multifocal placoid pigment epitheliopathy (AMPPE)
-
AMPPE
Apr 29 2014 by David W. Faber, MD
24-year-old female presented with central blurry vision for 3-5 days. Vision : OD 20/20, OS 20/100
Photographer: Jodi Schiele, Rocky Mountain Retina Consultants, Salt Lake City, Utah
Condition/keywords: acute multifocal placoid pigment epitheliopathy (AMPPE)
-
AMPPE
Apr 29 2014 by David W. Faber, MD
24-year-old female presented with central blurry vision for 3-5 days. Vision : OD 20/20, OS 20/100
Photographer: Jodi Schiele, Rocky Mountain Retina Consultants, Salt Lake City, Utah
Condition/keywords: acute multifocal placoid pigment epitheliopathy (AMPPE)
-
AMPPE
Apr 29 2014 by David W. Faber, MD
24-year-old female presented with central blurry vision for 3-5 days. Vision : OD 20/20, OS 20/100
Photographer: Jodi Schiele, Rocky Mountain Retina Consultants, Salt Lake City, Utah
Condition/keywords: acute multifocal placoid pigment epitheliopathy (AMPPE)
-
AMPPE
Apr 29 2014 by David W. Faber, MD
24-year-old female presented with central blurry vision for 3-5 days. Vision : OD 20/20, OS 20/100
Photographer: Jodi Schiele, Rocky Mountain Retina Consultants, Salt Lake City, Utah
Condition/keywords: acute multifocal placoid pigment epitheliopathy (AMPPE)
