-
By Suber S. Huang, MD, MBA, FASRS
Retina Center of Ohio
Co-author(s): Camille Palma, MD - Uploaded on Oct 18, 2012.
- Last modified by Jennifer Hicks on Oct 21, 2012.
- Reviewed by Jennifer Hicks
- Rating
- Appears in
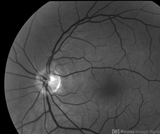
- Peripapillary Glial Proliferation
- Condition/keywords
- glial proliferation, Weiss ring, posterior vitreous detachment
- Photographer
- Stacie Hrvatin
- Imaging device
- Fundus camera
- Description
- 61-year-old woman with peripapillary gilal proliferation

Initializing download.