-
By Hamid Ahmadieh, MD
Labbafinejad Medical Center - Uploaded on Mar 23, 2014.
- Last modified by Hamid Ahmadieh, MD on Mar 23, 2014.
- Rating
- Appears in
- Miscellaneous
- Condition/keywords
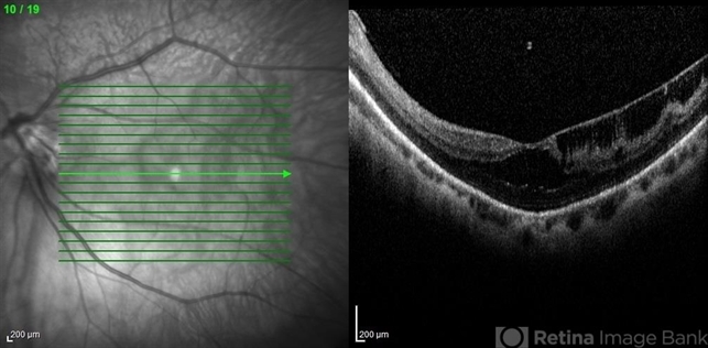
- myopic traction maculopathy, myopic foveoschisis, optical coherence tomography (OCT)
- Photographer
- Solmaz Shahmohammad , Negah Eye Center , Tehran
- Imaging device
-
Optical coherence tomography system
Specteralis - Description
- OCT image of the left eye of a 55-year-old woman with decreased vision secondary to myopic traction maculopathy.

Initializing download.