- 
            
            
            By Raj K. Maturi, MD
            
Midwest Eye Institute & Retina Partners Midwest
Co-author(s): Thomas A. Ciulla, M.D. Midwest Eye Institute - Uploaded on Oct 18, 2012.
 - Last modified by Jennifer Hicks on Oct 21, 2012.
 - Reviewed by Jennifer Hicks
 
- Rating
 - Appears in
 - Miscellaneous
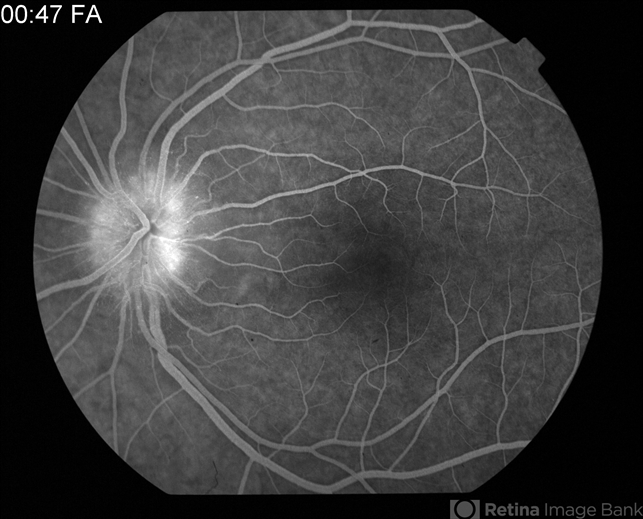
 - Condition/keywords
 - cat scratch retinitis, Bartonella bacteria
 - Photographer
 - Tom Steele, CRA
 - Imaging device
 - 
                Fundus camera
                
Topcon 50dx 

        
                Initializing download.