-
By Raj K. Maturi, MD
Midwest Eye Institute & Retina Partners Midwest
Co-author(s): Thomas A. Ciulla, M.D. Midwest Eye Institute - Uploaded on Oct 18, 2012.
- Last modified by Jennifer Hicks on Oct 21, 2012.
- Reviewed by Jennifer Hicks
- Rating
- Appears in
- Miscellaneous
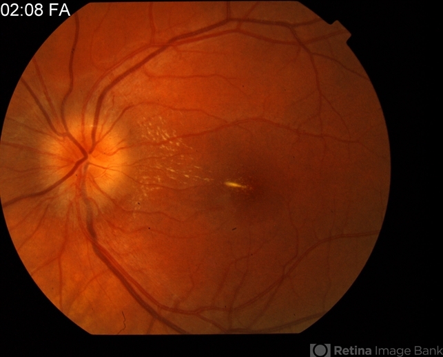
- Condition/keywords
- cat scratch retinitis, Bartonella bacteria
- Photographer
- Tom Steele, CRA
- Imaging device
-
Fundus camera
Topcon 50dx

Initializing download.