-
By Ratimir Lazic, MD, PhD
Eye Clinic Svjetlost
Co-author(s): Marko Lukic, MD - Uploaded on Oct 16, 2012.
- Last modified by Ratimir Lazic, MD, PhD on Oct 18, 2012.
- Reviewed by Jennifer Hicks
- Rating
- Appears in
- CNV due to Acute Multifocal Placoid Pigment Epiteliopathy
- Condition/keywords
- acute posterior multifocal placoid pigment epitheliopathy (APMPPE), anti-VEGF, choroidal neovascularization (CNV)
- Photographer
- Marko Lukic, MD
- Imaging device
-
Optical coherence tomography system
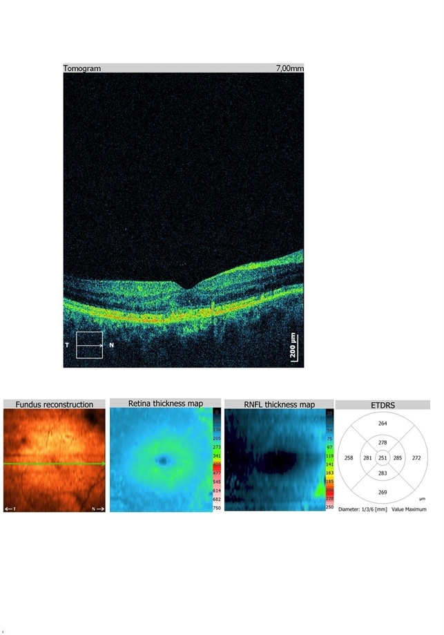
OCT Copernicus - Description
- OCT image of 58-year- old male. Total resolution of fluid one and a half month after treatment can be seen. The patient was treated with intravitreal bevacizumab.

Initializing download.