-
By Hamid Ahmadieh, MD
Labbafinejad Medical Center - Uploaded on Oct 13, 2012.
- Last modified by Hamid Ahmadieh, MD on Apr 13, 2013.
- Rating
- Appears in
- Miscellaneous
- Condition/keywords
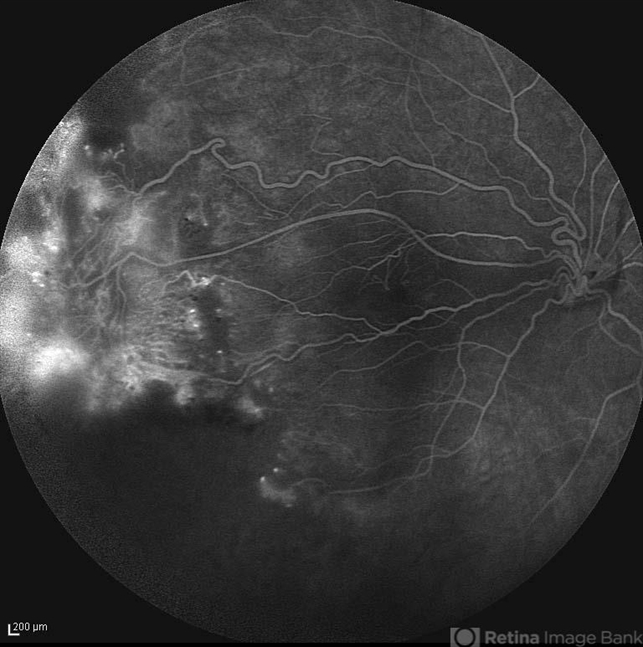
- optic disc hypoplasia, fibrovascular proliferation, peripheral retinal nonperfusion
- Photographer
- Hamid Ahmadieh, MD, Ophthalmic Research Center, Labbafinejad Medical Center, Shahid Beheshti University of Medical Sciences
- Imaging device
- Heidelberg Spectralis
- Description
- Late FA image of the right eye of a 24-year-old woman with peripheral retinal nonperfusion and fibrovascular proliferation associated with optic disc hypoplasia; visual acuity of 20/50. Her brother and sister were also involved with the same ocular disorder.

Initializing download.