-
By Hamid Ahmadieh, MD
Labbafinejad Medical Center - Uploaded on Oct 13, 2012.
- Last modified by Hamid Ahmadieh, MD on Oct 13, 2012.
- Rating
- Appears in
- Miscellaneous
- Condition/keywords
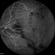
- familial exudative vitreoretinopathy (FEVR)
- Photographer
- Hamid Ahmadieh, MD, Ophthalmic Research Center, Labbafinejad Medical Center, Shahid Beheshti University of Medical Sciences
- Imaging device
- Heidelberg Spectralis
- Description
- Late FA image of the right eye of a 24-year-old woman with FEVR and visual acuity of 20/25.

Initializing download.