-
By Gregg T. Kokame, MD, MMM, FASRS
University of Hawaii School of Medicine
Co-author(s): James C. Lai, MD, Retina Consultants of Hawaii - Uploaded on Oct 12, 2012.
- Last modified by Gregg T. Kokame, MD, MMM, FASRS on Oct 15, 2012.
- Rating
- Appears in
- Retina Images
- Condition/keywords
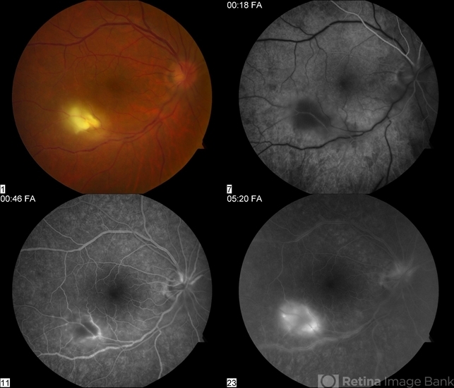
- toxoplasmosis
- Photographer
- Jaclyn Pisano, Retina Consultants of Hawaii
- Imaging device
-
Fundus camera
Zeiss FF-450 plus - Description
- Toxoplasmosis

Initializing download.