-
Giant Retinal Tear After Buckle With Perfluorocarbon Liquid
Dec 24 2013 by Gregg T. Kokame, MD, MMM, FASRS
Well-centered IOL after repair of giant retinal tear post buckle with perfluorocarbon liquid. Patient had history of blunt trauma to the eye and underwent scleral fixation of IOL five years prior, presented with retinal detachment with a giant retinal tear.
Condition/keywords: blunt trauma, surgical management
-
Giant Retinal Tear After Buckle With Perfluorocarbon Liquid
Dec 24 2013 by Gregg T. Kokame, MD, MMM, FASRS
Patient had history of blunt trauma to the eye and underwent scleral fixation of IOL five years prior, presented with retinal detachment with a giant retinal tear.
Condition/keywords: blunt trauma, retinal tear
-
Giant Retinal Tear After Buckle With Perfluorocarbon Liquid
Dec 24 2013 by Gregg T. Kokame, MD, MMM, FASRS
Patient had history of blunt trauma to the eye and underwent scleral fixation of IOL five years prior, presented with retinal detachment with a giant retinal tear
Condition/keywords: blunt trauma, retinal tear
-
Giant Retinal Tear After Buckle With Perfluorocarbon Liquid
Dec 24 2013 by Gregg T. Kokame, MD, MMM, FASRS
Patient had history of blunt trauma to the eye and underwent scleral fixation of IOL five years prior, presented with retinal detachment with a giant retinal tear
Condition/keywords: blunt trauma, retinal tear
-
Neovascular AMD with Ring Shaped lesions
Jul 12 2023 by Gregg T. Kokame, MD, MMM, FASRS
Vertical OCT Scan - Neovascular AMD with Active CNV Ring shaped lesions underneath the RPE inverted U-shaped elevation
Photographer: Jaclyn Pisano
Imaging device: Zeiss Cirrus 6000
Condition/keywords: edema, OCT, Sub-retinal fluid, wet age-related macular degeneration (wet AMD)
-
Neovascular AMD with Ring Shaped lesions
Jul 12 2023 by Gregg T. Kokame, MD, MMM, FASRS
Horizontal OCT Scan - Neovascular AMD with Active CNV Ring shaped lesions underneath the RPE inverted U-shaped elevation
Photographer: Jaclyn Pisano
Imaging device: Zeiss Cirrus 6000
Condition/keywords: inverted u-shaped elevation, macular edema, OCT, Sub-retinal fluid, wet age-related macular degeneration (wet AMD)
-
Polypoidal Choroidal Vasculopathy, Polyps 12x12 OCTA Scan
Jul 20 2023 by Gregg T. Kokame, MD, MMM, FASRS
PCV showing BVN and Polyps on En Face OCT 12x12 OCTA IS/OS Ellipsoid Layer
Photographer: Jaclyn Pisano
Imaging device: Zeiss Cirrus 6000
Condition/keywords: branching vascular network (BVN), En Face OCTA, PCV, polypoidal choroidal vasculopathy (PCV)
-
Polypoidal Choroidal Vasculopathy
Jul 20 2023 by Gregg T. Kokame, MD, MMM, FASRS
64 Year Old Male, with Polypoidal Choroidal Vasculopathy. Pre-op and Post-op PDT/Vabysmo Injection
Photographer: Jaclyn Pisano
Imaging device: Heidelberg Spectralis
Condition/keywords: FA late phase, indocyanine green (ICG) angiography, OCT, PDT, polypoidal choroidal vasculopathy (PCV), subretinal, subretinal fluid
-
Neovascular AMD with Polypoidal Choroidal Vasculopathy
Jun 11 2024 by Gregg T. Kokame, MD, MMM, FASRS
Structure OCT from the OCT angiography shows definition of the PCV complex.
Photographer: Jaclyn Pisano
Condition/keywords: branching vascular network (BVN), OCTA, polypoidal choroidal vasculopathy (PCV), wet age-related macular degeneration (wet AMD)
-
Large Pre-Retinal Hemorrhage Which is Sub Hyaloid
Jun 11 2024 by Gregg T. Kokame, MD, MMM, FASRS
PDR, Large pre retinal hemorrhage which is sub hyaloid.
Photographer: Jaclyn Pisano
Imaging device: Clarus 700
Condition/keywords: Proliferative Diabetic Retinopathy with High-Risk Characteristics
-
Pregnancy Induced HTN Retinopathy
Oct 12 2012 by Gregg T. Kokame, MD, MMM, FASRS
Pregnancy induced hypertensive retinopathy
Photographer: Jaclyn Pisano, Retina Consultants of Hawaii
Imaging device: Zeiss FF-450 plus
Condition/keywords: hypertensive retinopathy, pregnancy
-
Severe PDR
Oct 12 2012 by Gregg T. Kokame, MD, MMM, FASRS
Severe proliferative diabetic retinopathy
Photographer: Jaclyn Pisano, Retina Consultants of Hawaii
Imaging device: Zeiss FF-450 plus
-
AMD - Geographic Atrophy
Oct 12 2012 by Gregg T. Kokame, MD, MMM, FASRS
AMD, geographic atrophy
Photographer: Jaclyn Pisano, Retina Consultants of Hawaii
Imaging device: Zeiss FF-450 plus
Condition/keywords: geographic atrophy
-
Retinal Arterial Macroaneurysm
Oct 12 2012 by Gregg T. Kokame, MD, MMM, FASRS
Retinal arterial macroaneurysm
Photographer: Jaclyn Pisano, Retina Consultants of Hawaii
Imaging device: Zeiss FF-450 plus
Condition/keywords: retinal arterial macroaneurysm
-
Retinal Arterial Macroaneurysm s/p Laser Treatment
Oct 12 2012 by Gregg T. Kokame, MD, MMM, FASRS
Retinal arterial macroaneurysm, s/p laser treatment
Photographer: Jaclyn Pisano, Retina Consultants of Hawaii
Imaging device: Zeiss FF-450 plus
Condition/keywords: laser, retinal arterial macroaneurysm
-
Resolved Subfoveal Perfluorocarbon Fluid
Oct 12 2012 by Gregg T. Kokame, MD, MMM, FASRS
Resolved subfoveal PFC
Photographer: Jaclyn Pisano, Retina Consultants of Hawaii
Imaging device: Zeiss FF-450 plus
Condition/keywords: perfluorocarbon fluid
-
Subfoveal Perfluorocarbon Fluid
Oct 12 2012 by Gregg T. Kokame, MD, MMM, FASRS
Subfoveal PFC
Photographer: Jaclyn Pisano, Retina Consultants of Hawaii
Imaging device: Zeiss FF-450 plus
Condition/keywords: perfluorocarbon fluid
-
Toxoplasmosis
Oct 12 2012 by Gregg T. Kokame, MD, MMM, FASRS
Toxoplasmosis
Photographer: Jaclyn Pisano, Retina Consultants of Hawaii
Imaging device: Zeiss FF-450 plus
Condition/keywords: toxoplasmosis
-
Toxoplasmosis
Oct 12 2012 by Gregg T. Kokame, MD, MMM, FASRS
Toxoplasmosis
Photographer: Jaclyn Pisano, Retina Consultants of Hawaii
Imaging device: Zeiss FF-450 plus
Condition/keywords: toxoplasmosis
-
Retinitis
Oct 12 2012 by Gregg T. Kokame, MD, MMM, FASRS
Retinitis
Photographer: Jaclyn Pisano, Retina Consultants of Hawaii
Imaging device: Zeiss FF-450 plus
-
Endophthalmitis
Oct 12 2012 by Gregg T. Kokame, MD, MMM, FASRS
Endophthalmitis
Photographer: Jaclyn Pisano, Retina Consultants of Hawaii
Imaging device: Zeiss FF-450 plus
Condition/keywords: endophthalmitis
-
Best Disease
Oct 12 2012 by Gregg T. Kokame, MD, MMM, FASRS
Best disease
Photographer: Jaclyn Pisano, Retina Consultants of Hawaii
Imaging device: Zeiss FF-450 plus
Condition/keywords: Best disease, vitelliform macular dystrophy
-
Diabetic Macular Edema
Oct 12 2012 by Gregg T. Kokame, MD, MMM, FASRS
Diabetic macular edema
Photographer: Jaclyn Pisano, Retina Consultants of Hawaii
Imaging device: Zeiss FF-450 plus
Condition/keywords: diabetic macular edema
-
Sub Retina Hemorrhage
Oct 12 2012 by Gregg T. Kokame, MD, MMM, FASRS
Photographer: Jaclyn Pisano, Retina Consultants of Hawaii
Imaging device: Zeiss FF-450 plus
Condition/keywords: subretinal hemorrhage
-
Branch Retinal Vein Occlusion
Oct 12 2012 by Gregg T. Kokame, MD, MMM, FASRS
Branch retinal vein occlusion
Photographer: Jaclyn Pisano, Retina Consultants of Hawaii
Imaging device: Zeiss FF-450 plus
Condition/keywords: branch retinal vein occlusion (BRVO)
-
Fundus
Oct 12 2012 by Gregg T. Kokame, MD, MMM, FASRS
Photographer: Jaclyn Pisano, Retina Consultants of Hawaii
Imaging device: Zeiss FF-450 plus
-
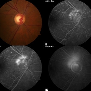
Optic Pit
Oct 12 2012 by Gregg T. Kokame, MD, MMM, FASRS
Optic pit
Photographer: Jaclyn Pisano, Retina Consultants of Hawaii
Imaging device: Zeiss FF-450 plus
Condition/keywords: congenital optic nerve pit
-
FA
Oct 12 2012 by Gregg T. Kokame, MD, MMM, FASRS
Photographer: Jaclyn Pisano, Retina Consultants of Hawaii
Imaging device: Zeiss FF-450 plus
-
Central Serous Choroidopathy
Oct 12 2012 by Gregg T. Kokame, MD, MMM, FASRS
Central serous choroidopathy
Photographer: Jaclyn Pisano, Retina Consultants of Hawaii
Imaging device: Zeiss FF-450 plus
Condition/keywords: central serous chorioretinopathy (CSCR)
-
Pigment
Oct 12 2012 by Gregg T. Kokame, MD, MMM, FASRS
Photographer: Jaclyn Pisano, Retina Consultants of Hawaii
Condition/keywords: pigment
-
Intraretinal Microvascular Abnormalities
Oct 12 2012 by Gregg T. Kokame, MD, MMM, FASRS
Intraretinal microvascular abnormalities
Photographer: Jaclyn Pisano, Retina Consultants of Hawaii
Imaging device: Zeiss FF-450 plus
Condition/keywords: fundus photograph, intraretinal microvascular abnormalities, red-free
