-
By Malvika Singh
Retina Foundation
Co-author(s): Dr Manish Nagpal, Retina Foundation, Ahmedabad, India - Uploaded on Sep 1, 2025.
- Last modified by Joshua Friedman on Sep 3, 2025.
- Rating
- Appears in
- Miscellaneous
- Condition/keywords
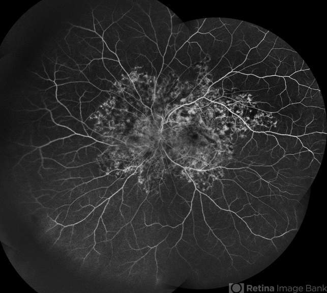
- serpiginous choroiditis, fluorescein angiogram (FA), healed choroiditis
- Photographer
- Dr Malvika Singh, Retina Foundation, Ahmedabad, India
- Imaging device
-
Scanning laser ophthalmoscope
Mirante SLO/OCT - Description
- Fluorescein angiography montage of a 45 year old man showing areas of staining in a case of healed choroiditis.

Initializing download.