-
By Malvika Singh
Retina Foundation
Co-author(s): Dr Manish Nagpal, Retina Foundation, Ahmedabad, India - Uploaded on Aug 4, 2025.
- Last modified by Joshua Friedman on Aug 6, 2025.
- Rating
- Appears in
- Miscellaneous
- Condition/keywords
- healed choroiditis
- Photographer
- Dr Malvika Singh, Retina Foundation, Ahmedabad, India
- Imaging device
-
Scanning laser ophthalmoscope
Mirante SLO/OCT - Description
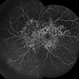
- Fundus photograph of a 50 year old male showing extensive chorioretinal scarring.

Initializing download.