-
By Paulina Araujo
Universidad Anáhuac México - Uploaded on Jun 4, 2025.
- Last modified by Joshua Friedman on Jun 5, 2025.
- Rating
- Appears in
- Miscellaneous
- Condition/keywords
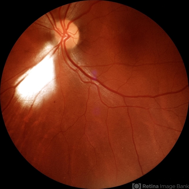
- myelinated nerve fibers
- Photographer
- Paulina D.Araujo Martínez, Asociación para Evitar la Ceguera en México I.A.P., Hospital Dr Luis Sánchez Bulnes.
- Imaging device
- Fundus camera
- Description
- The 55-degree central fundus photograph of the left eye reveals myelination of the nerve fiber layer along the inferior nasal arcade.

Initializing download.