-
By Amol yuvraj ganvir
Co-author(s): Dr. Chekitaan Singh, Medical director at Ishwar Eye Centre, Rohtak, Haryana - Uploaded on May 6, 2025.
- Last modified by Joshua Friedman on May 7, 2025.
- Rating
- Appears in
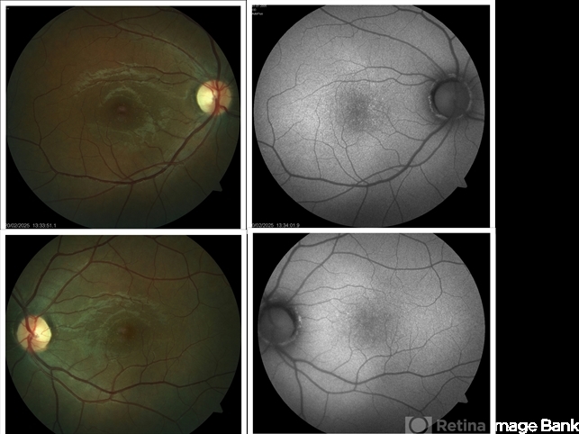
- Bilateral benign yellow dot maculopathy
- Condition/keywords
- yellow dots, Autoflourescence
- Photographer
- Dr. Amol Ganvir, Vitreo-Retina Fellow, Ishwar Eye Centre, Rohtak, Haryana
- Imaging device
-
Fundus camera
Visucam-Zeiss - Description
- A 37-year-old female patient presented for a routine eye examination. Her best-corrected visual acuity was 6/6 in both eyes. Fundus examination revealed multiple small yellow dots over the macula in both eyes. FAF imaging demonstrated characteristic hyperautofluorescence corresponding to these dots.

Initializing download.