-
By Oscar Francisco Miranda, MD
Asociación Mexicana Para Evitar la Ceguera en México I.A.P.
Co-author(s): Braulio Ayala-Sarmiento - Uploaded on Mar 9, 2025.
- Last modified by Joshua Friedman on Mar 10, 2025.
- Rating
- Appears in
- Miscellaneous
- Condition/keywords
- Autofluorescence, ocular syphilis, acute posterior placoid chorioretinitis
- Photographer
- Oscar Francisco Miranda-Gómez
- Imaging device
-
Fundus camera
Autofluorescence Zeiss Clarus 700 - Description
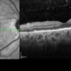
- A 36-year-old male with bilateral visual loss of 3 months' duration, with no relevant medical history on inquiry. A round-shaped lesion with well-defined borders and a yellowish-white color is observed in the macula of both eyes, accompanied by vitreous cellularity. The macular OCT shows a dentate RPE. The VDRL, FTA-ABS, and HIV tests were positive.

Initializing download.