- 
     Posterior Placoid Chorioretinitis Posterior Placoid ChorioretinitisMar 9 2025 by Oscar Francisco Miranda, MD A 36-year-old male with bilateral visual loss of 3 months' duration, with no relevant medical history on inquiry. A round-shaped lesion with well-defined borders and a yellowish-white color is observed in the macula of both eyes, accompanied by vitreous cellularity. The macular OCT shows a dentate RPE. The VDRL, FTA-ABS, and HIV tests were positive. Photographer: Oscar Francisco Miranda-Gómez Imaging device: Zeiss Clarus 700 Condition/keywords: acute posterior placoid chorioretinitis, Ocular syphilis 
- 
     Posterior Placoid Chorioretinitis Posterior Placoid ChorioretinitisMar 9 2025 by Oscar Francisco Miranda, MD A 36-year-old male with bilateral visual loss of 3 months' duration, with no relevant medical history on inquiry. A round-shaped lesion with well-defined borders and a yellowish-white color is observed in the macula of both eyes, accompanied by vitreous cellularity. The macular OCT shows a dentate RPE. The VDRL, FTA-ABS, and HIV tests were positive. Photographer: Oscar Francisco Miranda-Gómez Imaging device: Autofluorescence Zeiss Clarus 700 Condition/keywords: acute posterior placoid chorioretinitis, Autofluorescence, ocular syphilis 
- 
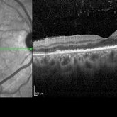
     Posterior Placoid Chorioretinitis Posterior Placoid ChorioretinitisMar 9 2025 by Oscar Francisco Miranda, MD A 36-year-old male with bilateral visual loss of 3 months' duration, with no relevant medical history on inquiry. A round-shaped lesion with well-defined borders and a yellowish-white color is observed in the macula of both eyes, accompanied by vitreous cellularity. The macular OCT shows a dentate RPE. The VDRL, FTA-ABS, and HIV tests were positive. Photographer: Oscar Francisco Miranda-Gómez Imaging device: Heidelberg Spectralis Condition/keywords: acute syphilitic posterior placoid chorioretinitis, OCT, Ocular syphilis 
