-
By Malek Yassine, MD
Centre d’Ophtalmologie Dr Malek Yassine - Uploaded on Feb 2, 2025.
- Last modified by Joshua Friedman on Feb 3, 2025.
- Rating
- Appears in
- 2-Feb-2025
- Condition/keywords
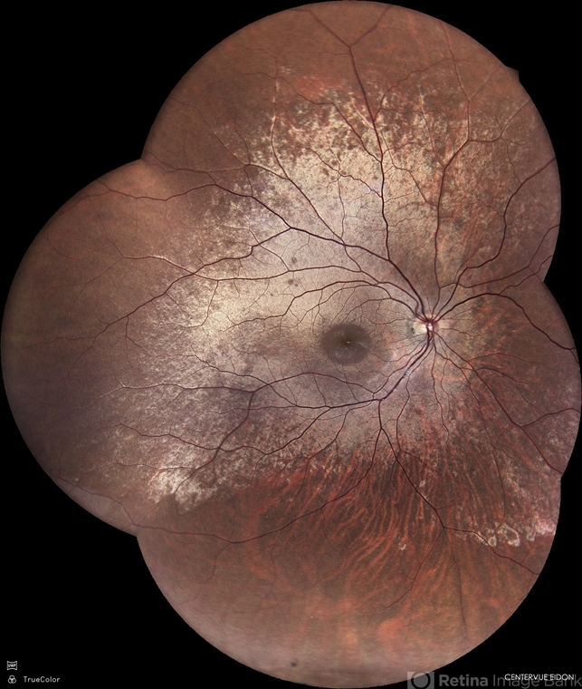
- Oguchi's disease, Mizuo Nakamura Phenomenon, congenital stationary night blindness (CSNB)
- Photographer
- Dr. Malek Yassine
- Imaging device
- Fundus camera
- Description
- Widefield retinography of a case of newly diagnosed Oguchi Disease with silver-gold metallic sheen within the posterior pole.

Initializing download.