-
By César Adrián Gómez Valdivia, MD
Fundación Hospital Nuestra Señora de la Luz IAP
Co-author(s): @eyemissu2 - Uploaded on Jan 5, 2025.
- Last modified by Joshua Friedman on Jan 6, 2025.
- Rating
- Appears in
- Miscellaneous
- Condition/keywords
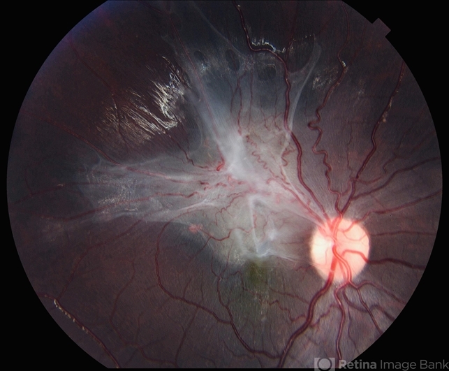
- hamartoma, retinal pigment epithelium (RPE) hamartoma
- Photographer
- @eyemissu2
- Imaging device
-
Fundus camera
TOPCON TRC-50DX - Description
- Hamartoma of the retina and retinal pigment epithelium found in a 10 year-old male patient with type 2 neurofibromatosis history. Overlaying fibrous proliferation can be appreciated. Findings were unilateral.

Initializing download.