-
By César Adrián Gómez Valdivia, MD
Fundación Hospital Nuestra Señora de la Luz IAP
Co-author(s): @eyemissu2 - Uploaded on Jan 5, 2025.
- Last modified by Joshua Friedman on Jan 6, 2025.
- Rating
- Appears in
- Miscellaneous
- Condition/keywords
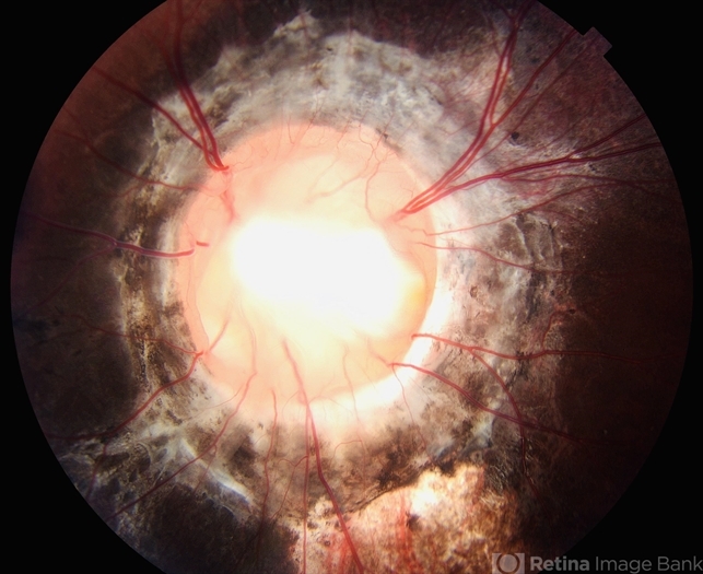
- Morning Glory Syndrome, Morning Glory Anomaly
- Photographer
- @eyemissu2
- Imaging device
-
Fundus camera
TOPCON TRC-50DX - Description
- Morning Glory Anomaly found in a 10 year-old male patient with poor visual acuity and strabismus. Findings were unilateral.

Initializing download.