-
By César Adrián Gómez Valdivia, MD
Fundación Hospital Nuestra Señora de la Luz IAP
Co-author(s): @eyemissu2 - Uploaded on Dec 12, 2024.
- Last modified by Joshua Friedman on Dec 13, 2024.
- Rating
- Appears in
- Miscellaneous
- Condition/keywords
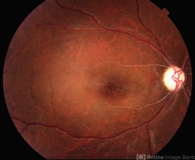
- cilioretinal artery occlusion, oclussion
- Photographer
- @eyemissu2
- Imaging device
-
Fundus camera
TOPCON TRC-50DX - Description
- Cilioretinal artery occlusion found in a 25 year-old male patient with history of monocular, sudden, painless vision loss.

Initializing download.