-
By Andrew Jin, MD
New York Eye and Ear Infirmary - Uploaded on Oct 28, 2024.
- Last modified by Joshua Friedman on Oct 28, 2024.
- Rating
- Appears in
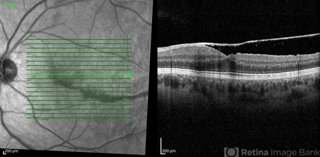
- Valsalva Retinopathy
- Condition/keywords
- valsalva retinopathy, OCT
- Description
- OCT of a 30 year old man with resolving valsalva retinopathy 2 months after presentation.

Initializing download.